Behandlingsmetoder
Hofteprotesekirurgi
Det er over 100 år siden den første hofteprotesen ble laget. Denne ble ingen suksess. Den første vellykkede hofteprotese ble laget i 1962, og denne er enda i bruk. Det finnes nå en mengde protesetyper i bruk i Norge og enda flere internasjonalt.
Hofteprotese
I prinsippet består en hofteprotese av en stamme som går ned i lårbenet, et hode som settes på toppen av stammen som erstatning for lårbenshodet, og en kunstig hofteskål (koppen) (figur 1). Forskjellige stammer kan kombineres med kopper av forskjellige merker, slik at kombinasjonsmulighetene blir svært mange.

Det er to hovedprinsipper for innfesting av protesedelene mot pasientens bein; enten med beinsement (polymetylmetakrylat) eller uten sement. Det er flere produsenter som lager beinsement. På begynnelsen av 1990-tallet ble Boneloc bensement brukt i Norge. Denne og to andre sementtyper viste seg å gi dårlige resultater, og disse sementtypene gikk ut av bruk for flere år siden.
De usementerte protesene er vanligvis laget av titanium og har enten en overflatestruktur eller et overflatebelegg som gjør at bein kan gro fast på protesen. Begge deler kan fungere godt i forhold til å få protesene til å sitte fast.
Figur 2 viser røntgenbilder av en hofte med artrose (figur 2a til venstre) og en hofte som har fått en sementert hofteprotese (figur 2b til høyre).

Materialer og design
Det har betydning hva slags materiale og diameter det er på de leddflatene som skal gli mot hverandre i det kunstige leddet. Enkelte av de protesetypene som ble brukt inntil nylig, viste seg å ha glideflater som ble slitt ut hurtigere enn andre, og disse er tatt ut av bruk. Dagens leddflater er langt mer slitesterke.
Komplikasjoner og reoperasjoner
I etterkant av operasjonen risikerer man infeksjon (ca 1%) og at protesen går ut av ledd (1-2%). Senere i forløpet kan protesen løsne fra beinet, og dette er den vanligste årsaken til at man må skifte ut hele eller deler av protesen. Andre og sjeldnere komplikasjoner som kan kreve reoperasjon kan være beinbrudd rundt protesen, brudd av selve protesen, slitasje av leddflatene eller irritasjon av en sene mot protesekoppen.
Holdbarhet av hofteproteser
I Nasjonalt Register for Leddproteser er det vist at sannsynligheten for at pasienten fortsatt har en vellykket protese i behold etter 10 år har vært 90-95 %. Dette resultatet er et gjennomsnitt fra mange tusen pasienter i hofteregisteret, men du som er pasient kan være uheldig og trenge en tidlig reoperasjon (se over), eller heldig og få en protese som fungerer godt i mange tiår. I leddproteseregisteret følger vi med på resultatene av de forskjellige protesetypene som er i bruk i Norge, men siden nær sagt alle proteser gir gode resultater på kort sikt, kan det ta flere år før det blir mulig å påvise at en ny protese gir dårlige resultater. Vi har påvist at resultatene av de forskjellige typene av hofteproteser har vært varierende. De typer hvor vi har påvist at resultatene er dårlige, er gått ut av bruk, men det er kommet nye inn på markedet. Disse nye protesene er lovende, men de har ikke vært i bruk lenge nok til at vi kan si noe helt sikkert om 10- eller 15-års resultatene. De fleste sykehusene bruker proteser som har minst 10 års fartstid og derved kjente gode resultater.
Valg av protesetype
For pasienter som skal opereres med hofteprotese kan det være nyttig å spørre kirurgen hvilken protese han/hun planlegger å bruke. Valget, for kirurg og pasient, vil gjerne stå mellom å bruke en protesetype der det foreligger dokumentasjon på at langtidsresultatene er gode (ca 95 % sjanse for at protesen er velfungerende etter 10 år), eller å bruke en nyere type som kanskje kan være enda bedre, men som ikke har vært i bruk lenge nok til at vi kjenner langtidsresultatet.
Leif Ivar Havelin, overlege, professor, Dr. Med.
Geir Hallan, overlege/professor - hovedansvar for Hofteproteseregisteret (oppdatert 10.09.21)
Årlig utføres det 7000 førstegangs kneproteseoperasjoner i Norge. Over 50 sykehus i Norge utfører inngrepet.
Hensikten med registeret er å øke kvaliteten på protesekirurgien i Norge. Dette gjøres ved tilbakemelding om resultat til hvert enkelt sykehus, gjennom årsrapporter og forskning. Kirurgene fyller ut et skjema [Registreringsskjema Kneproteser.pdf] etter kirurgi, som blant annet inneholder detaljert informasjon om protesen som brukes. Ved en eventuell framtidig reoperasjon fylles det samme skjemaet ut. Ved hjelp av levetidsanalyser beregnes holdbarheten av protesene. Vi spør også om funksjon og smerte før og etter operasjon.
De vanligste sykdommer der kneprotesekirurgi er aktuelt er ved artrose (slitasjegikt), revmatoid artritt (leddgikt), bruskskade etter brudd, bruskskade etter korsbåndskade og meniskskade. Før kirurgisk behandling må konservativ behandling være prøvd, dette omfatter styrketrening, fysioterapi, vektreduksjon og medisiner som paracetamol eller NSAID. Det anbefales å holde styrken i muskulaturen ved like ved hjelp av gange på mykt underlag og sykling. Dette lindrer smerten.
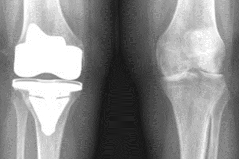
Etter at du har fått kneprotese kan du håpe på å kunne gå turer i terrenget, spille golf og gå turer på ski. Det er ikke anbefalt å drive idrett som medfører hopping og vridning som fotball. Når smerten ved gange eller i ro er moderat til sterk til tross for annen behandling foreslått over, og røntgenbilder viser slitasje av brusken (redusert tykkelse) i kneet (figur 1: Artrose med redusert brusk i kneet), kan det være aktuelt å tilby deg kneproteseoperasjon. Din fastlege kan da henvise deg til din lokale ortopediske sykehusavdeling, du blir der undersøkt av en ortopedisk kirurg.

Figur 1: På bildet til høyre sees slitasje av brusken i kneet. Det er ingen mellomrom mellom lårbenet og leggbenet. På bildet til venstre sees en protese. Det hvite representerer metall og mellomrommet plast (polyetyen).
Dersom du og din kirurg blir enige om operasjon med en kneprotese søkes du til innleggelse. Du anbefales å lese informasjonen på Helsenorge Velg riktig behandling ved kneartrose (helsenorge.no). Ventetiden for kneprotese i Norge varierer fra 2 uker til 36 uker. Dersom ditt lokale sykehus har lengre ventetid enn du mener du kan vente, og du er villig til å reise til et annet sykehus, kan du søke på nettstedet www.helsenorge.no.
Før kirurgi anbefales det at du øker styrken i muskulaturen og bevegeligheten i kneet, enten med egentrening eller ved hjelp av en fysioterapeut. Da blir resultatet bedre. Ved kneprotesekirurgi åpnes kneleddet til siden for kneskjellet, og brusk og ben kuttes med sag. Det brukes sikteinstrument for å gjøre benkuttene så nøyaktige som mulig. Det benet som er kuttet bort erstattes med metall (vanligvis kobolt krom eller titan) og plast (polyetylen). Metallet støpes som oftest fast til benet med bensement (polymethylmetacrylat). Dersom protesen settes feil inn kan dette føre til dårlig bevegelighet, og tidlig løsning og slitasje av plasten.
I Norge brukes vanligvis sementerte kneproteser uten kneskjellskomponent (uten patellakomponent figur 1 og 2:) (Figur 3 kneprotese med patellakomponent).

Figur 2: Kneprotese sett fra siden. Det hvite metallet erstatter den mengde ben og brusk som er saget bort, mellomrommet mellom de to hvite delene som er noe mørkere representerer plasten (polyetylen) som lårbensdelen beveger seg på. Det litt lysere hvite mellom protese og ben er sement som fester protesen til benet.

Figur 3: Bilde av kneprotese på plastben med patellakomponent). Disse protesene har gitt gode resultater, og 95 % av pasientene har fortsatt sin protese i kneet etter 10 år (Art_Dyrhovden-Have the causes of.pdf).
Dersom pasientene er unge (under 60 år), slites og løsner protesene raskere. Det viser seg at 15 % av protesene har blitt skiftet ut etter 10 år i denne aldersgruppen.
Er pasientene over 70 år vil bare 5 % av protesene være skiftet ut etter 10 år (Furnes - Failure Mechanisms 2007.pdf). Du vil således ha en stor sjanse for å beholde protesen resten av livet dersom du er over 70 år. Ved en-kammerartrose kan kirurgen velge en-kammerprotese (unikondylær protese). Dette er en noe mer krevende protese å operere for kirurgen, men den gir vanligvis noe bedre bevegelse og funksjon enn totalprotese. Bakdelen er 2 ganger økt risiko for reoperasjon pga løsning og brudd rundt protesen (Furnes - Failure Mechanisms 2007.pdf, Art_Dyrhovden-Have the causes of.pdf). (Figur 4: Røntgenbilde av unikondylær kneprotese.)

Resultatet etter en reoperasjon på kneprotese er dårligere enn etter førstegangsoperasjon, men resultatene er likevel ganske bra (Leta-Outcomes of Unicompatmental knee.pdf).
I noen få sjeldne tilfeller etter infeksjon må kneet avstives eller benet amputeres på låret. Kneprotese er vanligvis en god behandling. På en skala fra 0 til 10, har pasienten vanligvis verdien 2 etter proteseoperasjon. 0 er ikke smerte og 10 er ulidelig smerte. De fleste har god smertelindring etter 3 måneder, med en bøy i kneet på 90 grader. Etter 1 år er bøyen vanligvis 100 til 110 grader og styrken er bedret ytterligere. Det skjer vanligvis noe bedring fra 1 til 2 år etter operasjon, men sjelden senere. Det er lettere å komme seg opp fra stoler, gå i trapper og å sykle dersom bøyen i kneet er over 90 grader. God smertelindring etter operasjonen og rask start av trening er derfor viktig. Vanligvis skal du opp av sengen operasjonsdagen og starte treningen. Liggetiden i sykehus varierer i Norge, men er vanligvis mellom 2 -5 dager og har gått ned de siste årene. Dersom du klarer deg selv kan du reise direkte hjem og trene etter instruksjon fra fysioterapeut.
Hvis du har problemer med å klare deg hjemme kan et opphold på rehabiliteringsinstitusjon som har fysioterapeut være aktuelt. Normalt kontrolleres du hos din kirurg eller hos fysioterapeut etter 6 uker eller 3 måneder etter operasjon. Stingene fjernes etter 14 dager. Smertene avtar raskt, men kan være plagsomme de første 2 til 3 ukene. Det er viktig med god smertelindring de første ukene for å kunne trene. Norske kirurger har vært flinke til å rapportere til registeret, og trolig har over 95% av operasjonene blitt rapportert (Art_Acta_Espehaug2006.pdf, Årsrapporter.pdf). Resultatene har bedret seg de siste årene (Rapport 2016.pdf), trolig som resultat av bedre proteser, bedre kirurgisk teknikk og bedret utdanning (Art_Dyrhovden-Have the causes of.pdf). Kirurgene må gjennom 6- 7 års legeutdanning og 1 ½ års turnustjeneste og etter dette en obligatorisk spesialistutdanning i ortopedisk kirurgi på 6 år, med et minimum av kneproteseoperasjoner sammen med erfaren kirurg, i tillegg til gjennomført obligatorisk kurs i protesekirurgi. Registerets medarbeidere deltar som instruktører på kurset og det er skrevet norsk lærebok til dette kurset - Protesekirurgi i hofte og kne (www.legesiden.no).
Sykehus som gjør mange kneproteseinngrep har noe bedre resultat enn sykehus som gjør færre proteseinngrep (Badawy - Influence of hospital volume.pdf, Badawy - Higher revision risk for unicompartmental 2014.pdf). Resultater på sykehusnivå finnes på nettsiden https://www.kvalitetsregistre.no/resultater og i våre årsrapporter.
Ove Furnes- seksjonsoverlege/professor - leder av Kompetansenettverket og Leddproteseregisteret
Albueprotese
Albueprotese blir sjelden brukt. Det opereres inn ca. 30 slike proteser årlig - vanligvis hos revmatiske pasienter (figur 1).
Resultatene er vanligvis gode, og gir god bevegelighet og smertelindring.
Holdbarheten er noe dårligere enn for kneproteser (BT Fevang Results after 562 total elbow 2009.pdf).

Ankelprotese
Ankelprotese brukes hos revmatikere og etter ligamentskader og brudd (figur 2).

Resultatene er ikke så gode som for andre ledd. De gir god smertelindring, men ikke så god bevegelse og kan hos noen gi sårproblemer etter operasjonen. Alternativet er avstivning av ankelleddet og dette foretrekkes hos pasienter under 50 år med følgetilstander etter skader og brudd.
Holdbarheten er dårligere enn for hofte- og kneproteser (Art_Acta_Fevang2007.pdf).
Fingerproteser
Fingerproteser blir oftest brukt hos revmatikere, og er vanligvis laget av silikon. Holdbarheten etter 10 år er god, men det er noe brekkasje av silikonprotesene.
Håndleddsproteser
Håndleddsproteser brukes hos revmatikere, artrosepasienter og etter bruddskader. Overlevelsen av protesen er ikke så god som for hofte og kneprotesepasienter (Art_Acta_Krukhaug_Håndleddsproteser2011.pdf).
Ove Furnes- Seksjonsoverlege/professor - Leder av Kompetansetjenesten og Leddproteseregisteret
Skulderprotese
Skulderprotese brukes ved artrose (slitasjegikt), brudd i skulderen og ved større rotatormansjettskader. En operasjon med skulderprotese vil være god behandling for smerter. Bevegelsen i skulderleddet blir derimot ikke normalisert etter brudd, mens den hos artrosepasienter og revmatikere vanligvis blir bedre. Spesielt vil arbeid med armen over skulderhøyde kunne være vanskelig grunnet nedsatt bevegelighet i skulderen. Mange opplever også problemer med å få armen bak på ryggen.
Anatomisk totalprotese i skulder brukes ved artrose og andre lidelser i leddet der senene i rotatormansjetten er intakte. Med en slik totalprotese erstattes både leddhodet og leddskålen med protesedeler som etterlikner normal anatomi, men er laget av plast og metall.
Revers protese (omvendt skulderprotese)er en totalprotese som brukes der det er store slitasjeforandringer/rifter senemansjetten som omgir skulderen. Biomekanikken endres da slik at skulderen kan nyttiggjøre seg de delene av seneapparatet som er intakte. Leddskålen plasseres i overarmsdelen og leddhodet i den opprinnelige leddskålen på skulderbladet (derav revers/omvendt). Leddskålen er av plast (polyetylen) festet på en underliggende metall-base. Leddhodet er av metall.
Ved en delprotese (hemiprotese) erstattes bare leddhodet, mens leddskålen bevares. Bruken av disse protesene har gått ned de senere årene, men det kan fortsatt være tilstander der disse protesene egner seg godt. Holdbarheten av protesene er god (BT Fevang Results after 562 total elbow 2009.pdf, Fevang BTS - Improved survival for anatomic total shoulder prostheses 2015.pdf, Art_Lehtimäki K-Low risk of revision.pdf).
Skulderen føles sjelden som en normal skulder, men med totalprotese vil pasientene kunne erfare at den opererte skulderen er 80-90% så god som den normale skulderen.
Selv om komplikasjoner ved kirurgi er sjelden kan disse være potensielt alvorlige. 1-2% av pasienter som får protese må reopereres på grunn av bakteriell infeksjon omkring protesen. Andre komplikasjoner kan være nerveskader, protese som går ut av ledd (luksasjon), slitasje av protesedeler, beinbrudd nær eller omkring protesen og slitasje av rotatormansjetten.
Randi M. Hole - seksjonsoverlege - hovedansvar for skulderproteser
Hoftebrudd
Hoftebrudd er en felles betegnelse for alle brudd i øvre del av lårbeinet. Hoftebruddene deles vanligvis inn i lårhalsbrudd, trokantære brudd og subtrokantære brudd (figur 1).

Lårhalsbrudd utgjør omtrent 60 % av hoftebruddene. Trokantære brudd utgjør omtrent ca 30 % av hoftebruddene og oppstår i området mellom den store lårbeinsknuten (trokanter major) og den lille lårbeinsknuten (trokanter minor) like nedenfor lårhalsen. Subtrokantære brudd utgjør omtrent 5 % av alle hoftebrudd og oppstår i området nedenfor den lille lårbeinsknuten (trokanter minor), altså lenger nede på lårbeinet enn de pertrokantære bruddene. Alle hoftebrudd må opereres. Bruddene legger derfor beslag på store ressurser i helsevesenet, både når det gjelder operasjonsstuer, sengeposter og opptreningsplasser.
Hvem får hoftebrudd?
De fleste hoftebrudd oppstår i forbindelse med fall fra egen høyde. Totalt regner vi med at det årlig forekommer omtrent 9000 hoftebrudd i Norge. Hoftebrudd rammer først og fremst eldre mennesker. Gjennomsnittsalderen for pasienter som pådrar seg hoftebrudd er 80 år. Mange eldre, spesielt kvinner, har beinskjørhet (osteoporose) som gjør at bein brekker lettere. I tillegg har mange eldre en økt fallrisiko som gjør dem mer utsatte for hoftebrudd. Hoftebrudd forekommer 3 ganger oftere hos kvinner enn hos menn, dette skyldes at kvinner som regel har mer uttalt beinskjørhet enn menn.
Hva er tegn på hoftebrudd?
Typiske tegn på et hoftebrudd er sterke smerter i hofte eller lyske. Beinet er ofte opprykket og utover-rotert, og ved bevegelse vil pasienten oppleve smerte i hofte eller lyske. Pasienten kan vanligvis ikke belaste det aktuelle beinet. En sjelden gang, ved såkalte innkilte brudd, har pasienten mindre symptomer, ingen feilstilling og klarer å belaste beinet.
Hvordan stilles diagnosen?
Røntgen er nødvendig for å stille en sikker diagnose. Røntgen er også avgjørende for å finne ut hvilken type brudd som foreligger og dermed hvordan bruddet best kan behandles. Av og til er bruddet så lite ute av stilling at det ikke kan oppdages på de første røntgenbildene. Dersom en har mistanke om at det er et brudd i hoften til tross for normale røntgenbilder vil en vanligvis gjøre en MR undersøkelse av hoften for å utelukke eller bekrefte et hoftebrudd. Dersom sykehuset ikke har MR, eller dersom pasienten av ulike grunner ikke kan gjennomføre en MR undersøkelse vil en CT undersøkelse kunne bekrefte eller utelukke et hoftebrudd.
Behandling
Behandlingen avhenger av hvilket hoftebrudd som foreligger.
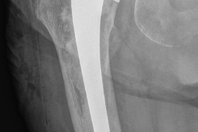
Lårhalsbrudd
Lårhalsbrudd opereres på 2 ulike måter. Dersom bruddet står i pen stilling (lite forskutt) er det vanlig å operere bruddet med 2 pinner eller skruer (figur 2).

Dersom bruddet står ute av stilling (mye forskutt) vil en hos yngre mennesker forsøke å sette bruddet på plass og operere det med 2 pinner eller skruer. Imidlertid er det en viss risiko for komplikasjoner etter en slik operasjon, for eksempel at bruddet ikke gror og at skruene løsner. Dette oppstår gjerne de første 6 månedene etter bruddet. En annen forekommende komplikasjon er sammenfall av lårhodet grunnet manglende blodforsyning til lårhodet. Dette merker pasientene ofte som økende smerter 6 – 18 måneder etter bruddet. Behandlingen for begge komplikasjoner er protese i hofteleddet. Kirurgen kan velge mellom en delprotese eller en totalprotese avhengig av tid fra første operasjon, pasientens alder og medisinske tilstand samt hofteleddets tilstand.
Eldre pasienter har dårligere beinkvalitet enn yngre pasienter og har en økt risiko for komplikasjoner etter operasjon med pinner eller skruer. Lårhalsbrudd som er ute avstilling (forskutte) hos eldre opereres derfor vanligvis med en protese. Dette er et noe større inngrep, men studier har vist at pasientene klarer dette inngrepet bra og at man unngår komplikasjoner som manglende tilheling av bruddet og sammenfall av lårhodet. For de fleste eldre pasienter vil operasjon med delprotese (lårhodet byttes ut med et kunstig lårhode) være tilstrekkelig (figur 3). For spesielt aktive og friske pasienter og for pasienter med slitasje i hofteleddet før hoftebruddet kan det være aktuelt å sette inn en totalprotese (både lårhode og hofteskål byttes ut).

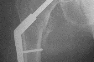
Trokantære brudd
Den vanligste operasjonsmetoden ved trokantære brudd er en glideskrue (figur 4). Ved denne operasjonen skrues en stor skrue gjennom lårhalsen og opp i lårhodet. Skruen kan gli gjennom en plate som festes på utsiden av lårbeinet. Denne mekanismen sikrer at god kontakt i bruddet og dermed at bruddet gror raskere.

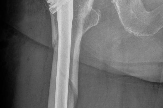
En del av de trokantære bruddene regnes som ustabile. Disse bruddene opereres ofte i stedet med en margnagle som settes ned gjennom margkanalen i lårbeinet og som festes med skruer både gjennom lårhalsen og nederst gjennom lårbeinet (figur 5). Skruen(e) som går gjennom lårhalsen kan vanligvis gli gjennom naglen for å sikre god kontakt i bruddet og dermed at bruddet gror raskere.

De ustabile trokantære bruddene kan av og til tilhele med feilstilling. Dette kan i noen tilfeller føre til lokale plager fra glideskruen eller margnaglen, hoftesmerter, redusert bevegelse i hoften eller beinlengdeforskjell.
Subtrokantære brudd
De subtrokantære bruddene regnes som ustabile og opereres vanligvis med en margnagle (figur 6). Bruddene gror vanligvis i løpet av 3 måneder.

Etterbehandling og opptrening
Pasientene tillates vanligvis å belaste det opererte beinet fullt etter operasjonen, men bør bruke krykker eller andre ganghjelpemidler de første 6 ukene etter operasjonen. Pasientene er som regel innlagt på sykehus i en knapp uke etter operasjonen. Som regel er det nødvendig med en lengre opptreningsperiode etter at en har gjennomgått et hoftebrudd. Mange pasienter må derfor overføres til en opptreningsinstitusjon de første ukene etter sykehusoppholdet. For mange eldre pasienter betyr dessverre et hoftebrudd at de ikke lenger kan klare å bo hjemme og at de får behov for sykehjemsplass.
I tillegg til den kirurgiske behandlingen er det viktig å forebygge nye brudd. De fleste eldre pasienter som pådrar seg et hoftebrudd er beinskjøre. Det er derfor anbefalt å starte opp med medisiner som hindrer ytterligere beinskjørhet. I tillegg er fallforebyggende tiltak viktig. Mange kommuner har egne treningsopplegg tilpasset eldre med falltendens.
Jan-Erik Gjertsen, seksjonsoverlege/førsteamanuensis - leder for Hoftebruddregisteret
Registerbeskrivelse
https://www.kvalitetsregistre.no/sites/default/files/31_arsrapport_2015_barnehofte.pdf
Bakgrunn for registeret
Coxartrose og andre hoftelidelser er et betydelig folkehelseproblem og behovet for hofteprotese er 140 per 100.000 personer per år, det vil si omlag 6500 operasjoner årlig i Norge. Disse lidelsene representerer dermed også en betydelig økonomisk byrde for samfunnet, og forebygging er viktig. Det er antatt at hoftesykdommer i barneårene disponerer for utvikling av coxartrose senere i livet. Det er mangelfull kunnskap om barnehoftesykdommenes epidemiologi, etiologi, forløp og behandlingsresultater globalt og nasjonalt. Dette medfører at behandlingen av disse lidelsene blir mye opp til den behandlende leges skjønn og lokale behandlingstradisjoner.
Det er i den senere tid blitt et stort fokus på hoftelidelser hos ungdommer og unge voksne. "Impingement" i hoften (CAM/pincer impingement) enten idiopatisk eller som følge av en av barnehoftelidelsene er mye omtalt. Et økende antall operative inngrep, både åpne og artroskopiske, utføres på unge mennesker med disse tilstandene. Det er antatt at dette gir symptomlindring og kan forebygge coxartrose. I de senere år har bedrede kirurgiske teknikker gjort at bekkenosteotomier (periacetabulare osteotomier, PAO) for sekvele etter hofteleddsdysplasi utføres stadig oftere hos ungdommer og unge voksne for å forebygge artrose. Det er imidlertid er stort behov for å dokumentere en eventuell effekt av disse prosedyrene. Derfor startet registreringen av disse hoftelidelsene og kirurgiske inngrep som utføres på disse pasientene i barnehofteregisteret våren 2010.
Registerets formål
Formålet med registeret er å oppnå økt kunnskap om barnehoftelidelsenes epidemiologi, behandlingsrutiner og trender ved de forskjellige sykehus, risikofaktorer/ prognose, samt behandlingsresultater. Dette vil gjøre oss i stand til å forbedre behandling gjennom sammenligning av behandlingsmetoder og resultater og identifisere mangelfull diagnostikk og behandling.
Pasientgruppe som omfattes av registeret
Utvalget består av alle barn i Norge som får diagnosen Calvé-Legg-Perthes sykdom, hofteleddsdysplasi, eller epifysiolysis capitis femoris. I tillegg vil alle barn, unge og unge voksne der man utfører hoftebevarende kirurgi (ikke hofteleddsproteser eller revisjoner av slike eller traumer/frakturer) registreres.
Hofteleddsdysplasi
Hofteleddsdysplasi er en utviklingsfeil i hofteskålen der taket i hofteleddet er steilere enn i en normal hofte. Som regel er dette en medfødt feil, men det finnes også tilfeller der denne feilen oppstår etter fødselen. Tidlig behandling er avgjørende for prognosen. Nyfødte som får diagnosen behandles med en hoftepute for å holde hoftene i en fordelaktig stilling. Større barn bruker ortoser, ev. trenger en operasjon for å få lårhodet på plass i hofteskålen
Alle barn over tre måneder med påvist hofteleddsdysplasi etter Tønnis kriterier på konvensjonell røntgen av bekken skal registreres. Dette gjelder både barn som tidligere er behandlet (pute) og barn med nyoppdaget dysplasi etter tre måneder.
Calvé-Legg-Perthes sykdom (CLP)
Alle pasienter som får stillet diagnosen CLP registreres, uavhengig av hvilke diagnostiske kriterier som er brukt. Senoppdaget CLP, uansett om den er oppdaget tilfeldig eller ikke, med enten røntgen eller MR, skal registreres. Gjennomgått CLP som første gang oppdages etter at pasienten er utvokst skal ikke registreres.
Epifysiolysis Capitis Femoris (SCFE)
Alle pasienter med åpne fyser (vekstskiver) som får stillet diagnosen SCFE inkluderes, uavhengig av hvilke diagnostiske kriterier som er brukt. Hvis det i forløpet oppdages glidning i motsatt sides hofte skal den registreres. Tilfeldig oppdaget SCFE hos skjelettmodne skal ikke registreres.
Åpne og artroscopiske hofteoperasjoner (ikke protesekirurgi)
Alle pasienter uavhengig av alder som får utført åpne (unntatt proteseinngrep og traumer/fracturer) eller artroscopiske hofteinngrep registreres.
Trude Gundersen, daglig leder, overlege Haukeland universitetssjukehus
Ola Wiig, fagrådsleder overlege, Oslo universitetssykehus.
Sentralt i kneet finner vi fremre- og bakre korsbånd. Deres funksjon er å stabilisere kneet og derfor muliggjøre normal bevegelse i leddet. De to båndene krysser hverandre og har derfor litt ulik funksjon. Hovedoppgaven til det fremre korsbåndet er å hindre at leggbenet sklir for mye framover i forhold til lårbenet. Hovedoppgaven til det bakre korsbåndet er å hindre at leggbenet sklir for mye bakover i forhold til lårbenet. Korsbåndene stabiliserer også kneet ved vridningsbevegelser.
Hvorfor skades fremre korsbånd?
90 % av alle korsbåndskadene involverer fremre korsbånd. Hyppigst skjer skaden mens foten står i bakken og kneet er bøyd, samtidig som man vrir kroppen og lårbenet. I Norge skjer ⅔ av skadene i forbindelse med fotball, håndball og alpint. Fremre korsbånd kan være den eneste kneskaden, men ofte foreligger det også skade på andre strukturer - for eksempel menisk, brusk og sideleddbånd.
Tegn på fremre korsbåndskade
Ved en akutt skade kommer smertene umiddelbart. Hevelse i kneet kommer i løpet av kort tid, gjerne i løpet av sekunder. Smertene er ofte så sterke at belastning og bevegelse av kneet synes umulig.
Når den akutte skaden roer seg vil mange få tilbake tilnærmet normal funksjon. Problemet oppstår når man øker aktivitetsnivået – og instabiliteten melder seg. For pasienten føles dette som om kneet svikter og ofte ikke er til å stole på. Det er sjelden smertene er like kraftige som ved akutt skade.
Hvordan stilles diagnosen?
Skaden lar seg ofte enkelt diagnostisere ved hjelp av sykehistorien og enkle undersøkelser. Kneundersøkelse kan være for vanskelig å gjennomføre på grunn av smerter og hevelse de første dagene. Da vil det være aktuelt å gjøre ny undersøkelse etter 1-2 uker. MR vi være en god hjelp til å finne diagnosen – og er spesielt viktig for å finne ledsagende tilleggsskader på andre strukturer.
Behandling
Alle fremre korsbåndskader bør behandles. Enten med kirurgi eller gjennom aktiv opptrening. Hensikten med behandling er å stabilisere kneet slik at pasienten kan komme tilbake til sitt normale aktivitetsnivå. Ofte vil man tape muskelstyrke og balanse over kneet etter den akutte skaden. Gjennom veiledning fra en fysioterapeut kan normalisere denne funksjonen. Noen vil kunne oppleve at kneet oppnår tilstrekklig stabilitet til deres ønskede livsutfoldelse/aktivitetsnivå. I tilfeller hvor kneet er veldig ustabilt, ved ledsagende skader eller dersom pasientene har høye krav til knefunksjon vil man tilby kirurgisk behandling.
Ved kirurgisk behandling brukes det et transplantat som erstatning for det skadede korsbåndet. I Norge er det vanligst at dette transplantatet kommer fra pasienten selv, enten som en del av senen (patellarsenen) mellom kneskålen og leggbenet, som en del av senen fra baksiden av låret (hamstringsenen) eller fra knestrekkesenen mellom kneskålen og lårbenet (quadricepssenen). Etter operasjonen er det viktig med opptrening hos fysioterapeut. Opptreningsperioden varer oftest fra 9-12 måneder og tar sikte på å gjenopprette bevegelighet, styrke og balanse.
Eivind Inderhaug – overlege, leder for Korsbåndregisteret