Chronic kidney disease
Chronic kidney disease is expected to become the fifth leading cause of death until 2040 above all cancer types.

Chronic kidney disease (CKD) has a major and increasing impact on morbidity and mortality worldwide. In fact, CKD is the 10th leading cause of death globally and is expected to become the fifth leading cause of death by 2040 above all cancer types. The economic burden of chronic kidney disease and renal replacement therapy is enormous: Aggregated health care costs for CKD in Europe are in the range or exceed the costs for diabetes and cancer.
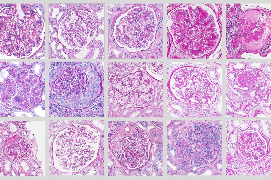
A kidney biopsy is often the only option to correctly diagnose the renal disease and to gain information about prognosis and possible treatment. Our kidney disease projects focus on how computational pathology can assist the nephropathologist to classify kidney lesions and to quantify prognostic and predictive biomarkers.

Work package 6: Automatic classification of glomerular lesions
