Før operasjonen må du faste i minst seks timar. Det betyr at du ikkje skal ete, røykje, bruke snus, tyggje tyggjegummi eller pastillar. Du kan drikke klare væsker som saft og vatn (men ikkje noko anna) fram til to timar før operasjonen.
Hoftebrot, operasjon ved lårhalsbrot
Hoftebrot/lårhalsbrot blir behandla med operasjon. Hensikten med operasjonen er å stabilisere brotet slik at det kan gro godt, og at du kan komme deg opp og belaste beinet med ein gong.
Før
Under
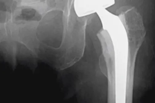
Ved hoftebrot skil ein mellom brot nedanfor lårhalsen og lårhalsbrot. Dei fleste tilfella av lårhalsbrot må opererast med ei protese. Kirurgen vil då erstatte hoftekula med ei kunstig hoftekule. I nokre tilfelle er det mogleg å operere ved bruk av to skruar.

Lårhalsbrot behandla med protese.
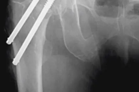
I nokre tilfelle kan brotet skruast saman ved hjelp av to skruar som blir sett inn i lårhalsen gjennom to små opningar i huda.

Lårhalsbrot behandla med to skruar.
Etter
Når operasjonen er ferdig blir du liggande ei stund på postoperativ avdeling før du kjem tilbake til eining for hoftebrot. Dersom du blir operert på morgonen, vil du mest sannsynleg kome tilbake til eininga i løpet av ettermiddagen.
Kontakt
Sentralblokka
Ortopedisk avdeling, Haukeland
Oppmøtestad
Sengepostar er i 7. etasje, og poliklinikk er i 2. etasje i Sentralblokka.
Sentralblokka
Haukelandsveien 22
5021 Bergen