Vi tilrår at du alltid nyttar siste versjon av nettlesaren din.

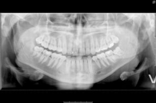
Røntgen av kjeve

Røntgen av kjeve (OPG) gir oss ei framstilling over alle tennene, tannrøter og kjeve (panoramabilde). OPG blir ofte tatt før ein fjerner visdomstenner, rutine før hjarteoperasjon, tannstatus før ein eventuell strålebehandling og ved spørsmål om brot.

Før

Undersøkinga krev ingen førebuingar.

Under

Bilda blir tatt fortrinnsvis ståande, men kan også takast sittande. Eventuelle tannprotesar, piercing og tyggegummi må takast ut. Røntgenmaskina beveger seg rundt deg mens bildet blir tatt. Det krev at du kan stå/sitte stille i 2 - 3 minutt under førebuing og bildetaking.

Røntgen av kjeve
 

Etter

Bilda blir vurdert av ein radiolog, og svaret blir sendt til tilvisande lege.

Sist faglig oppdatert 17.01.2025

Kontakt

Sentralblokka Kjevekirurgisk avdeling

Kontakt Kjevekirurgisk avdeling

Oppmøtestad

Kjevekirurgisk poliklinikk, i 2 etg. Sentralblokken (Nordenden)
Flyfoto av Sentralblokka

Sentralblokka

Haukelandsveien 22

5021 Bergen

Transport

​Fleire rutebussar går forbi Haukeland. I tillegg finst direkte arbeidsruter mellom bydelane og sjukehuset.
 
​​​​​​På nettsidene til Skyss.no finn du bussruter med oversikt over stoppestader og tider
 
  • Line 5 og 6 har avgang frå Festplassen
  • Line 12 har avgang frå Bystasjonen
  • Line 16E har avgang frå Xhibition i Småstrandgaten
​Busstoppa rundt Haukeland:

  • Ulriksdal for besøkande til Ulriksdal helsepark og Glasblokkene (line 5, 6, 16E)
  • Haukeland sjukehus Nord for besøkande til Glasblokkene, Kvinneklinikken, Augebygget og Haukeland hotell (line 5, 6, 12 og 16E)
  • Haukeland sjukehus Sør for besøkande til Sentralblokka og andre bygg på Haukelandsområdet (line 5, 6, 12 og 16E)
  • Ibsensgate - arbeidsruter

​Nærmaste stoppestad til Haukeland er bybanestoppet Haukeland sjukehus. Banen stoppar nord for Sentralblokka, like ved Glasblokkene, på Haukelandsområdet. Det tar om lag 5 minutt å gå frå stoppet til sjukehuset. 

Sjå rutetabellar og oversikt over stoppestader på Skyss.no

Parkeringsanlegget på Haukeland er delt inn i ulike område på og i nærleiken av sjukehuset. Vi har dessverre ikkje nok plassar til alle som ønsker å parkere på sjukehuset.

​​​​​​​​Av omsyn til dei som må bruke bil, oppmoder vi derfor dei som kan, til å bruke offent​leg transport​. Det er også mogleg å parkere på Bystasjonen og ta buss/bane det siste stykket opp til Haukeland​. 

​For dei som av ulike årsakar må bruke bil, er det parkeringsplassar på ulike områder på og i nærleiken av sjukehuset.
 

Reiseutgifter
Som regel gjennomfører du reisa di på eiga hand og søker om å få dekt reiseutgiftene i etterkant.
Les meir om å få dekt ei pasientreise

Planlegging
I utgangspunktet vel du sjølv kva transportmiddel du reiser med til behandling.
Les meir om planlegging av pasientreisa di

Rettar/Rettane dine
Hovedregelen er at pasientreiser bli dekt med ein standardsats per kilometer. Ved behov kan også nødvendige tilleggsutgifter bli dekt.
Les meir om rettane dine ved pasientreiser

Tilrettelagt transport
Helseekspressen
Avdeling for pasientreiser i Helse Bergen 

​I Sentralblokka på Haukeland finn du ein taxihaldeplass der det som regel står ledige bilar. Ved behov er våre tilsette i resepsjonen tilgjengelege 24 timar i døgnet og kan bestille taxi til deg.

Praktisk informasjon

I foajeen i Sentralblokka på Haukeland finn du eit apotekutsal for publikum. Dei gjer klar resepten din medan du ventar der.

Meir informasjon om sjukehusapoteket i Sentralblokka

Opningstider
Måndag-fredag kl. 08.30-17.00

Telefon 55 97 53 44
Telefaks 55 29 07 40
bergen@apotekene-vest.no

Apotekutsalet har eit variert varetilbod, og fører dei legemidla sjukehuset nyttar i behandlinga. Dei skaffar også legemiddel som ikkje er marknadsførte i Noreg eller som må produserast spesielt. I tillegg har dei hudpleie- og hygieneartiklar og ernæringsprodukt, samt andre apotekvarer og sjukepleieartiklar.

Dei ansatte ved apoteket gir deg informasjon, råd og rettleiing om legemiddel og legemiddelbruk og kan tilby samtale/rettleiing mellom personale og pasient på eit uforstyrra samtalerom. Dei tilbyr og opplæring i blodsukkermåling og bruk av inhalasjonspreparat.

Apoteket tar også i mot gamle legemiddel til destruksjon.​

Du kan betale med Vipps på apoteket. Du kan derfor mellom anna betale på førehand når du skal hente bestilte medisinar.

 

Når du skal på besøk eller følgje ein pasient på sjukehuset, må du gjere deg kjent med gjeldande rutinar.

Les meir om besøkstider og -reglar på sjukehuset

Frivillige på Haukeland er her for å gjere pasientar og pårørande sitt møte med sjukehuset betre. Alle i frivilligheitstenesta er kledd i raude vestar og har fått kursing om rolla. 


Dei frivillige kan vise veg, vente saman med pasientar, bli med på luftetur i parken eller nærområde - og mykje meir. 

Meir informasjon på helse-bergen.no/frivillig

Kontaktinformasjon: 

Som inneliggande pasient vil du få matservering på avdelinga du ligg på. I tillegg kan du og besøkande kjøpe alt frå dagens middag til smårettar, bakevarer og kioskvarer på sjukehuset. I nærmiljøet finst også fleire daglegvarebutikkar.

Les meir om mattilbodet ved sjukehuset

Pasientbiblioteket på Haukeland er til for pasientar og pårørande. Her er utlån av bøker, både tekst- og lydbøker, filmar, musikk og tidsskrift. Biblioteket har også mange aviser til utlån, mellom anna alle lokalavisene i distriktet.
For dei som ikkje kan komme seg til biblioteket, har vi et tilbod med boktraller med eit utval frå biblioteket som blir trilla rundt til avdelingane.

Pasientbiblioteket finn du i foajeen i Sentralblokka på Haukeland. Kom innom for ein prat, lån ei bok eller slå deg ned i salongen med ei avis.

Telefon resepsjon: 55 97 50 00

I tillegg til resepsjonen i foajeen i Sentralblokka, har alle poliklinikkane på sjukehuset eigen resepsjon. Her kan du få hjelp med alt frå betaling til bestilling av transport.

​​​​​​​​Besøke pasientar
Skal du besøke ein pasient? Vi kan gi deg informasjon om kvar du finn dei ulike avdelingane og sengepostane på sjukehusområdet.

Betale eigendel
Du kan betale eigendel for polikliniske konsultasjonar i resepsjonen mellom klokka 07.00 og 21.00. Ver merksam på at poliklinikkane berre tar imot betaling med kort.

Bestille drosje
Om du ønskjer det, hjelper vi deg gjerne med å bestille drosje. Berre ta kontakt i resepsjonen.

Leitar du etter ei avdeling?
Sjå avdelingsoversikta

Resepsjonen i foajeen i Sentralblokka er døgnbemanna og hjelper deg i tillegg med:

Lån av rullestol
Resepsjonen låner ut rullestolar til bruk på sjukehuset. For lån av rullestol er det 200 kroner i depositum. ​

Følgeteneste
Vi tilbyr følgeteneste, der ein tilsett kan følge deg til og frå poliklinikkane, til røntgen og til Laboratorium for klinisk biokjemi. Vi har også rullestol om du treng det.

Følgeteneste har vi frå klokka 07.00 til 15.00. Direkte telefonnummer til følgetenesta er 55 97 20 06.

Oppbevaringsboksar
Vi har oppbevaringsboksar, om du treng dette. Avhengig av storleik på boksen, kostar dette 20 eller 30 kr. per døgn.

Hittegods
Vi tar imot hittegods, og leverer ut hittegods dersom dette er levert same dag eller same helg. Etter dette blir hittegodset levert til Drift/teknisk kundesenter.​​

Alle pasientar og besøkande kan bruke gratis trådlaust internett på dei fleste områda på sjukehuset.

Gjest.ihelse.net er eit trådlaust nettverk for besøkande, pasientar og tilsette. Slik koblar du deg til gjestenettet vårt:

  1. Koble deg til det trådlause gjestenettet (gjest.ihelse.net)
  2. Ein nettlesar skal opne seg automatisk. (Om påloggingsvindauget ikkje dukkar opp, forsøk å opne nettlesaren manuelt).​
  3. Trykk "Godta" når du har lest og forstått vilkåra.

Innlogginga skjer automatisk på einingar etter første pålogging, så lenge kontoen er aktiv. Det skal bare være nødvendig å logge seg på éin gong per eining per 31 dagar. 

 
Trøbbel med å kople til trådlaust internett?
Sjukehuset har dessverre dårleg nettverk nokre stader. Du kan derfor ha problem med å få logga deg på nettverket. Vi beklagar dette, og jobbar med å utbetre dette.
 
Har du ein nyare mobiltelefon, og problem med å kople det til trådlaust gjestenett på sjukehuset? Det kan skuldast nettverksinnstillingane på telefonen din.